
痛みをできるだけ小さく抑えるために
極めて細い麻酔針を採用
痛みを防止するための麻酔ですが、麻酔を注射するときの痛みが嫌だという方は少なくありません。
当院では麻酔の針をできるだけ細いものを使用することで、注射した際の痛みを軽減します。
麻酔を注入する際に手で圧力を調整して痛みを軽減
最近では自動で麻酔を注入する機器もありますが、当院では手での注入を行っています。
手の感覚で微妙な圧力を調整することで、痛みを軽減することができるからです。
むし歯を削るときも患者様のペースを大切に
むし歯を削る際には、患者様の様子によって十分な休憩を取るなど患者様のペースを大切にしています。
痛みがあるときは決して無理をせずに痛みを伝えてください。
神経治療はとくに時間をかけて、丁寧に
むし歯治療の中でも、神経に関する治療は痛みを伴うことが多くあります。そのため、一回目の神経治療はとくに時間をかけてより丁寧に行います。
具体的には、神経をやむを得ず切断する際には、バサバサになってしまう切断面をきれいに時間をかけて整えます。この細かな工程をしっかりと行うことで後の痛みを軽減することができます。
医院の都合ではなく、患者様の痛みを減らすことを最優先して治療を進めています。
むし歯をほおっておくとどうなるの?
むし歯をほおっておくとどうなってしまうのでしょうか。むし歯はエナメル質を溶かし、象牙質まで到達します。さらに歯髄まで達し最後には歯の見える部分がなくなってしまいます。
むし歯の進行度はC1~C4に分類されます。このCとはドイツ語でむし歯という意味のCariesからきています。
C1がエナメル質がむし歯である状態、C2が象牙質までむし歯である状態、C3が歯髄までむし歯が到達した状態、そしてC4が歯の見える部分が残っていない状態です。この分類は便宜上のもので、例えばC2に近いC3というように個人個人で口の状況が異なります。そのため患者様の口の状況を把握し、最適な治療を施す、ということを当院では心がけています。
むし歯の段階ごとに適切な治療があります
では、段階ごとに合った治療とはどういうものなのでしょうか。削らないといけないのか、銀歯になってしまうのか、はたまた歯を抜かなければならないのか。ここでは段階ごとの治療法をお伝えします。
C1の段階

エナメル質がむし歯であるC1の段階では、歯を削り、詰め物をします。具体的にはレジン修復というコンポジットレジンというプラスチック樹脂を削った部分に詰める治療をおこないます。詰め物の型をとらないで修復するため一回の診療で治療が完了します。
C2の段階

次に、象牙質にまでむし歯が到達したC2の段階ではC1のむし歯よりも大きく歯を削ります。削ってできた穴にインレーという詰め物をします。このインレーは歯の形にピッタリ合うものが必要であるため、歯の型をとり調整していかなければなりません。この治療法をインレー修復といいます。
C1もC2も神経にまでむし歯が到達していないため歯を削って詰め物をすることで治療が可能です。しかしC3以降は事情が変わってきます。
C3、C4の段階


レジン充填症例
Before
大臼歯に古い銀歯の下に虫歯になったケース
After
古い銀歯を除去しレジン充填した状態です
| 費用 | 保険適用 |
|---|---|
| 治療期間 | 1日 |
| デメリット | 麻酔して削りますが術後数日しみる症状が出る場合があります。 |
セラミック修復症例
Before
大臼歯に虫歯があります
After
虫歯の箇所をセラミックで修復した状態です
| 費用 | 55,000円(税込) |
|---|---|
| 治療期間 | 2回のアポイント |
| デメリット | 術後しみる場合があります |
ジルコニアクラウン症例
Before
奥歯の銀歯が劣化し穴が開いています
After
銀歯を除去しジルコニアクラウンを合着しました
| 費用 | 99,000円(税込) |
|---|---|
| 治療期間 | 2回のアポイント |
| デメリット | 術後数日しみる症状が出る場合があります |
オールセラミッククラウン症例
Before
上の前歯の色調不良と古いレジン充填があちこちに目立ちます
After
オールセラミッククラウンとラミネートベニアで前歯を修復した状態です
| 費用 | 759,000円(税込) |
|---|---|
| 治療期間 | 3回のアポイント |
| デメリット | 術後数日しみる症状が出る場合があります |

歯周病は、歯周病菌が炎症を起こし、徐々に周りの組織を破壊していく疾病です。
歯と歯肉の間の歯磨きが出来ていないとそこに菌が留まり、歯肉炎になり赤くなったり、腫れたり、出血します。
歯周病は、初期症状、中期症状では自覚症状が出にくい為、口臭、歯の動揺などの症状が出た頃には、末期に近づいている事が予想されます。
末期では、歯周ポケット(歯と歯肉の境目)が深くなり、歯を支える土台骨が溶けて
歯が、ぐらぐら動くようになり、最後は、歯を抜かなければいけなくなります。
そのためにも健診、正しいブラッシング、歯科衛生士による専門的なクリーニングなど定期的なメンテナンスと健診を受けられることが大切です。
元住歯科クリニック矯正歯科では、経験豊富な歯科衛生士が、担当させていただきます。
ご質問や疑問がある際は、遠慮なくお聞きください。
患者様の健康な歯と歯ぐきの維持をサポート致します。

言葉では表現しにくい、患者様の希望を探し出し作っていきます。
「折角つくったのに・・・」
「初めはよかったけど・・・」
「しっくりこない」
「痛みが出てきた」 など
他にも「かみ合わせ」の問題、審美性、メンテナンスなど問題はありませんか?
個人個人にあったベストな「入れ歯」を患者様の希望をしっかりお聞きし、そのうえで提案し納得のいく「入れ歯」を一緒に作っていきたいと考えております。
それ以外にも、入れ歯に対する疑問点、相談などあれば医師にご相談ください。
メタル義歯

入れ歯

事例1
プラスチック義歯と金属義歯との違いが解りやすいように左右でその両者の材料を用いて製作してみました。
厚みが全然違うのが解ります。
お口の中で粘膜に触れる内面をみると、金属義歯の強度がプラスチック義歯とは全然違うのが見てとれます。
事例2
様々な入れ歯を製作してみました。
可能な限りうすく、違和感を軽減できるか色々な要素が関係してきます。
写真では解りにくいですが、お口に中に装着した際、入れ歯を入れているのが極力目立たないようにとも設計しています。
事例3
事例4
治療費
治療費用例
¥275,000~(税込み)
※片顎・保険外治療の場合です。
※治療内容、使用金属により金額は異なります。

治療回数を少なく、患者様への負担を軽くしています。
インプラント治療とは、歯を失った部位に人工の歯根を手術で植立し、人工歯根が顎の骨に固着した後、人工の歯を冠せ、咬み合わせを回復する治療です。
ブリッジとは違い、健康な歯を削る事はありません。
また、入れ歯と比べてものを噛み砕く事が自然歯に近く、今までの様に美味しく食事を頂く事が、可能です。
これらの優れた点に加えインプラントの本当の良さとは、審美性をも求めていけることです。
ですが、その後のケアやメンテナンスが非常に大切です。
詳しい事は一度、来院しご相談ください。
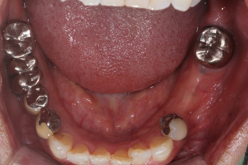
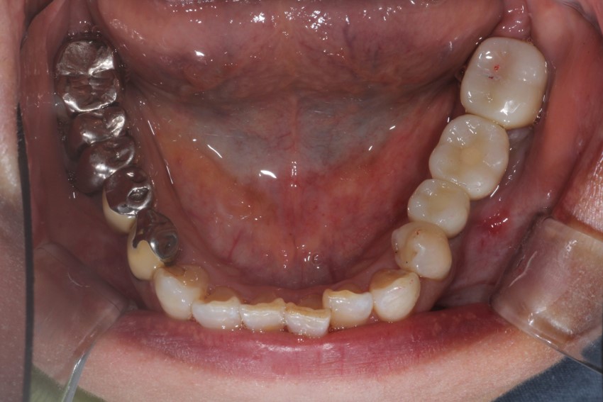
インプラント症例
Before
左下の欠損に対し長年部分入れ歯を使用していました
After
左下の欠損にインプラント治療を行った状態です
| 費用 | 962,500円(税込) |
|---|---|
| 治療期間 | 6ヵ月 |
| デメリット |
外科手術のリスク: インプラントの埋入には外科手術が伴うため、術後の腫れや痛み、出血などの身体的負担が生じる可能性があります。 神経損傷のリスク: まれに、手術中に神経を傷つけ、麻痺などの後遺症が残るリスクがあります。 感染症のリスク: 糖尿病や骨粗しょう症など全身疾患を持つ方や、喫煙者の方は感染症や治癒の遅延、インプラントの定着率低下のリスクが高まります。 インプラント周囲炎: 術後も正しい歯磨きや定期的なメンテナンスを怠ると、歯周病に似た「インプラント周囲炎」を引き起こし、インプラントがグラつくなどのトラブルにつながる可能性があります。 |