
乳歯のむし歯
乳歯のむし歯は進行が早い為、みつけにくく発見が遅れやすいです。
またひどくなっても痛みが出にくいのも特徴です。
永久歯や歯並びに影響することもあり、偏食の原因にもなります。
当院ではむし歯の見落としを防ぐために歯の汚れをしっかり落とし、全体をていねいにみます。
年齢や生活などでむし歯のできやすい場所をさらに念入りにみていきます。
またデンタルフロス(糸ようじ)使用時の感覚でも診査しています。
必要な時期にレントゲンでむし歯の大きさを確認します。
3歳までのむし歯治療
当院では、緊急性のある治療を除き、お子さんを無理に治療することはいたしません。お子さんが歯医者に徐々に慣れていけるよう、最初はお母様と一緒に座っていただき、歯磨きなどをしながら歯科用の道具に慣れてもらいます。そして、お子さんの様子を見ながら、虫歯治療の開始時期を慎重に決めていきます。
無理に治療を行うことで、歯医者を嫌いになり来院が途絶えることのないよう、常に注意を払っています。
むし歯治療
むし歯治療に関しては、レントゲンをとり、大きさやその進行状況を確認しながら、お子様の成長も考慮しつつ、治療のタイミングを決めていきます。
乳歯に関しては、他の医院で抜くと言われた歯でも、当院ではできるだけ抜かずに治療します。
歯の詰め物に関しては、ほとんどが歯に似た色合いの詰め物で永久歯に生えかわるまでとれないように治します。
むし歯にならない生活を知る
普段の生活の中で、むし歯になりやすいお子様がいたり、なりにくいお子様がいたりしますが、お母様とよく話し合い、ご相談しながらお子様のための生活方法を考えていきます。

子どもの歯並び(小児矯正歯科)

一昔前と違い、子どもの歯科治療で多いご相談内容は、虫歯ではなく「歯並び」に関することです。当院では、ガタガタ、でこぼこ、受け口、出っ歯等、子どもの不正な歯並びのご相談を受けつけております。
お子さんの歯並びや咬み合わせが心配な方はお問い合わせください。
料金
| 検査・診断料 | 33,000円 |
|---|---|
| 治療費 | 330,000円 |
大人の歯並び(成人矯正歯科)

歯並びが悪いことは、見た目や第一印象の問題だけでなく、歯ぐきや骨にも悪影響を及ぼします。がたがたしていたり、歯と歯が重なっていたりすると汚れがたまり、歯磨きで除去しづらくなり、虫歯になりやすくなったり、歯周病や歯肉炎を引き起こしたりするリスクが高まります。
Ⅱ期治療について
Ⅱ期治療とは
Ⅱ期治療とは、大人の歯が生え揃ってから、歯列、噛み合わせの不正を治す治療です。
Ⅱ期治療のメリット
治療内容
表側矯正

表側矯正(ラビアル矯正、ワイヤー矯正、ブラケット矯正とも呼ばれます)は、
歯の表面に装置(ブラケット)とワイヤーを装着して歯を動かす、最もポピュラーな矯正治療法です。
複雑な歯並びに対応でき、多くの症例に適用可能で、透明やセラミックなどの目立ちにくいブラケットやワイヤーも選択できます。
コンビネーション矯正
コンビネーション矯正とは、外から見えやすい上の歯をリンガル(裏側)矯正にし、下の歯をラビアル(表側)矯正とし、組み合わせる治療法です。
審美性と低価格を兼ね備えた装置です。
リンガル矯正

リンガル矯正(裏側矯正・舌側矯正)とは、歯の裏側(舌側)に矯正装置を装着するワイヤー矯正の一種で、
外から装置が見えないため、矯正していることが目立ちにくいのが特徴です。
審美性が重視される方、人前に出る仕事をしている方におすすめの治療法ですが、
装置の装着や調整には高度な技術が必要であり、対応できるクリニックが限られています。
マウスピース矯正

マウスピース矯正とは、透明で目立たないマウスピースを段階的に交換し、 歯を少しずつ動かして歯並びを整える矯正方法です。
ワイヤーやブラケットを使わないため、装置が目立ちにくく、食事や歯磨きの際に自分で取り外せるというメリットがあります。
マウスピース矯正のみで対応できない症例では追加料金はかかりますが、ワイヤー矯正でしか達成できない部分や期間のみワイヤー矯正を行い、それ以外をマウスピース矯正で対応することもあります。
※矯正専門医が治療を行います。
※矯正治療に関してはセファロや必要ならCTを用い、しっかりとしたシミュレーションを行い、個人にあった歯並びのご相談に乗ります。
矯正歯科は医療控除の対象です。
マウスピース矯正-インビザライン

マウスピース歯並びをきれいに整えたり、かみ合わせを良くする場合、歯の表面にブラケットという装置を装着し、ワイヤーの力を利用して、歯の矯正を行うことが一般的ですが、矯正装置が目立ってしまうという欠点があり、矯正治療に踏み出せない方も多くいらっしゃるのではないでしょうか。
当クリニックでは、出来るだけ目立たない方法で矯正治療を行っております。薄くて透明なマウスピース装置「インビザライン」を決められた時間装着することで歯並びを整えます。患者様自身で取り外しができますので、患者様のライフスタイルに合わせて治療を進めていくことができます。
しかし、歯を大きく動かす場合はマウスピース矯正ではなく、従来の方法での矯正治療のほうが良い場合もあります。上記でご紹介した目立たないブラケットやワイヤーを使用することも出来ますので、歯並びでお悩みの方はどうぞお気軽にご相談ください。
目立たない矯正装置

従来の金属のギラギラ目立った装置ではなく、目立たない半透明なブラケットやワイヤーを使用する装置を取り扱っています。
部分矯正

前歯の数本に部分的に装置を付けて、歯並びを改善していく方法です。前歯の軽度の傾きや凹凸が対象の矯正歯科治療で、重度のデコボコの歯並びや不正咬合には適しません。
料金
| 検査・診断料 | 33,000円 |
|---|---|
| ラビアル 表側矯正 |
660,000円 |
| リンガル 裏側矯正 |
1,100,000円 |
| コンビネーション矯正 上リンガル+下ラビアルなど |
880,000円 |
| 部分矯正 | 132,000円~ |
| マウスピース矯正 Ⅰ期治療を当院でされた方のⅡ期治療は330,000円 |
770,000円 |

小児矯正の診査するポイント
お子さまの矯正治療は、大人のように力をかけて歯を動かすだけでなく、あごの成長をサポートしながら、永久歯が並びやすいように整えていく治療です。
乳歯から永久歯に生え替わる時期に合わせて行うことで、より自然にきれいな歯並びを目指せます。
大人になってからの矯正治療と比較して下記の点でお子さまの負担が軽減できます。
こどもの矯正治療は骨格や歯列の拡大を行い、永久歯が生えそろった後の矯正治療を少ない力と期間で行うための準備としても期待できます。
治療期間は長期になりますがお子様への負担は少なく、永久歯が生えそろった後に装着する固定装置の期間はかなり短縮されます。
矯正装置で歯並びを整えながら、不正咬合の原因となる習癖を改善致します。
Ⅰ期治療について
Ⅰ期治療とは、子供の時から口腔を管理し、むし歯はもちろん、歯列不正の無い歯並びに誘導していくことが重要です。将来、整った歯並びや、お口周りからあごにかけての顔貌をつくり、悩むことのないようにしていくために、混合歯列期(子供の歯と大人の歯が混在している時)の頃から矯正治療を行うことをI期治療といい、重要と考えております。
Ⅰ期治療のメリット
歯並び・噛み合わせを悪くする習癖について
矯正治療中に舌癖が見られると、歯に偏った圧力がかかることで歯の移動が上手くいかなかったり、 治療後に後戻りしてしまったりするケースがあります。そのため、矯正治療をスムーズに進めるためにも、癖はしっかり改善しておくことが大切です。
口腔内での舌の正しい位置
スポットとは
普段舌の先が上の前歯の1cmくらい内側の場所(切歯乳頭という膨らんだところの後ろ)が正しい舌のポジションです。
この場所を「スポット」と言います。
舌がスポットの位置になく歯に当たる位置にあると、歯が生えるのが妨げられたり、
歯並びや咬み合わせが乱れる原因となります。また、舌の位置を改善すると歯並びも自然に整ってくることがあります。
お口の癖を改善する口腔筋機能療法「MFT」とは?
口腔筋機能療法「MFT」(Oral Myofunctional Therapy)とは、
食べる(咀嚼)時、飲む(嚥下)時、発音時、呼吸時の舌や口唇の位置の改善を目的とした各種トレーニングです。
MFTを継続して行うことで口腔周囲の筋肉バランスを整え、癖を直すことができます。
当院では、矯正治療のスムーズな進行と、矯正治療後の後戻りの防止を目的として、MFTを積極的に取り入れています。
料金
| 検査・診断料 | 33,000円 |
|---|---|
| 治療費 | 330,000円 |
※矯正治療は医療費控除の対象です(年間10万円超の医療費が条件)
なぜ、こどもの頃から歯並び治療をした方が良いのか
治療内容
拡大床

床矯正(しょうきょうせい)は、取り外し可能な床矯正装置を使用して、歯列を側方に拡大するための装置で、将来的に抜歯を伴う矯正治療をしないですむようになることが期待できます。
床矯正装置は、ネジ式になっており、段階的にネジを絞めていくことで、徐々に歯列の幅を広げていき、歯を並べるスペースを確保することができるようになっています。
クワドヘリックス(固定式)

拡大床とは違い固定式です。固定して装着しているため24時間矯正効果が持続します。適応は、歯列不正が強い場合やご家庭の生活の事情やお子様の性格により取り外すタイプだと難しい場合に選択することがあります。
小児本格矯正の目的は、永久歯が生え変わる前に歯列を拡大して永久歯の生えるスペースを確保することです。
顎の成長期である10歳頃までに歯列を拡大することができれば、将来、歯並びの悪化を防ぐことができ、抜歯矯正にならないようにするメリットがあります。
歯列矯正用咬合誘導装置(プレオルソ矯正)治療か小児本格矯正かは年齢や歯列の状態により判断しています。
急速拡大装置

急速拡大装置は、上顎の骨を横に拡大するために使用される装置です。
上顎の歯列を骨ごと広げることで、狭くなった歯ならびにスペースを作りそのスペースを用いて歯をならべていきます。
ワイヤー矯正

ワイヤー矯正とは、歯にブラケットという装置を付け、ワイヤーを通して歯を少しずつ動かし、歯並びや噛み合わせを整える治療法です。
確実な治療結果が期待でき、様々な症例に対応できるため、長年の実績がある伝統的な矯正治療法として、歯列矯正の代表的な方法とされています。
Ⅰ期治療開始時期にお悩みの方は、治療開始のタイミングまでは無料で診察させて頂きます。
(※当院で治療される方に限ります。)
下顎前突(前歯が前後逆に生えている方)はそうでない方より早期の治療が必要な場合があります。
矯正歯科は医療控除の対象です。

いかに美しく自然に見えるかと、同時に機能性をも追求しています。
審美は、見た目の美しさに重点を置いた総合的な歯科医療です。
一般に、保健診療治療行われる歯科治療では、
・むし歯の治療等で削った後を埋めるまたは被せる
・欠損した歯を治し食事が出来るようにする など
歯の機能回復を中心に治療しています。
ですが、そこには見た目の美しさにを考慮した治療がされているとは言い難いです。 しかし、口元の美しさは、人に与える印象に大きく影響してきます。
元住歯科クリニックでは、歯の機能回復はもちろんの事、治療後のいかに美しく自然に見えるかに重点を置いて治療をしています。
また、患者様のご意見、希望もしっかりお聞きし、提案させていただきます。
セラミックインレー

天然の歯となじみが良く、ほとんど詰め物をしているとは分からないくらい自然に仕上がります。素材にハイブリッド素材やイーマックスシステムの素材であるガラスセラミックを使用し、自然なセラミックインレーをご提供いたします。
セラミックインレーのメリット
セラミッククラウン
金属を全く使用せず全てセラミックで出来た天然の歯のような白いかぶせ物です。このかぶせ物の最大の特徴は、他の素材に比べて天然歯に最も近い色調と透明感を表現できることです。
奥歯にも対応でき、美しさと機能面を兼ね備えております。また生体親和性が高いため、体に優しく金属アレルギーの心配もありません。
ジルコニアクラウン

医療用の人工関節やスペースシャトルの素材にも使われるジルコニアは、生体に優しく光を透過し、自然な色調と質感をもたらします。強度や審美性があり、美しいオールセラミッククラウンを製作できます。
イーマックスクラウン

スイス・チューリッヒのメーカー「イボクラービバデント社」が開発した「二ケイ酸リチウムガラス」という次世代の素材を含んだセラミックです。ケースに合わせて奥歯・前歯に使用できます。
セラミックブリッジ

ブリッジとは、上記でご紹介したクラウンを連結した応用治療で、歯が無くなってしまった場合に、両隣りの歯を削って土台を作り、橋渡しをするように人工の歯を入れて歯の欠損部分を回復するものです。
ブリッジは入れ歯とは異なり、取り外し式ではなく固定されているので違和感なく使用できますが、支えとなる歯の状態や、歯の欠損している場所によってはブリッジを適応することが難しい場合もありますので、ブリッジが可能かどうかの検査を行う必要があります。
審美のケース
レジン充填症例
Before
大臼歯に古い銀歯の下に虫歯になったケース
After
古い銀歯を除去しレジン充填した状態です
| 費用 | 保険適用 |
|---|---|
| 治療期間 | 1日 |
| デメリット | 麻酔して削りますが術後数日しみる症状が出る場合があります。 |
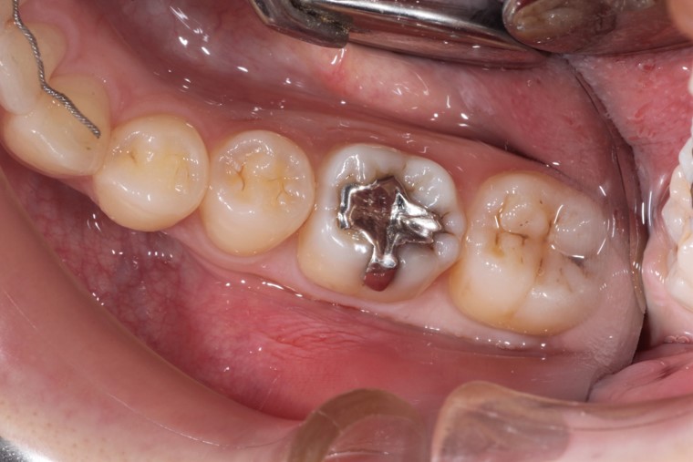
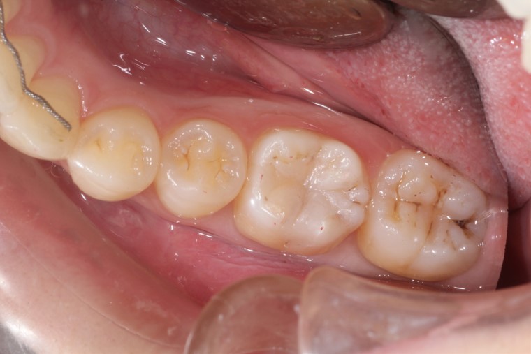
セラミック修復症例
Before
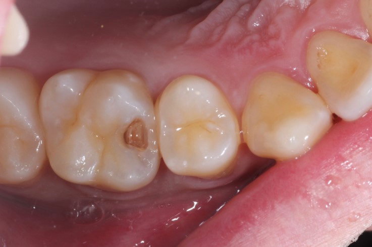
大臼歯に虫歯があります
After
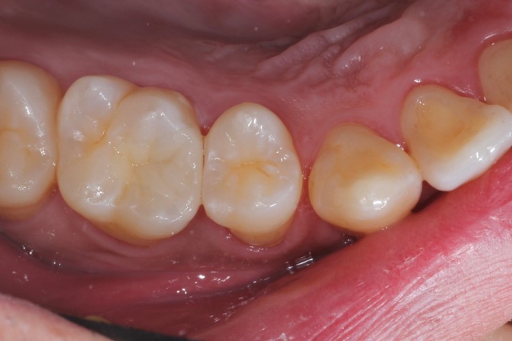
虫歯の箇所をセラミックで修復した状態です
| 費用 | 55,000円(税込) |
|---|---|
| 治療期間 | 2回のアポイント |
| デメリット | 術後しみる場合があります |
ジルコニアクラウン症例
Before
奥歯の銀歯が劣化し穴が開いています
After
銀歯を除去しジルコニアクラウンを合着しました
| 費用 | 99,000円(税込) |
|---|---|
| 治療期間 | 2回のアポイント |
| デメリット | 術後数日しみる症状が出る場合があります |
オールセラミッククラウン症例
Before
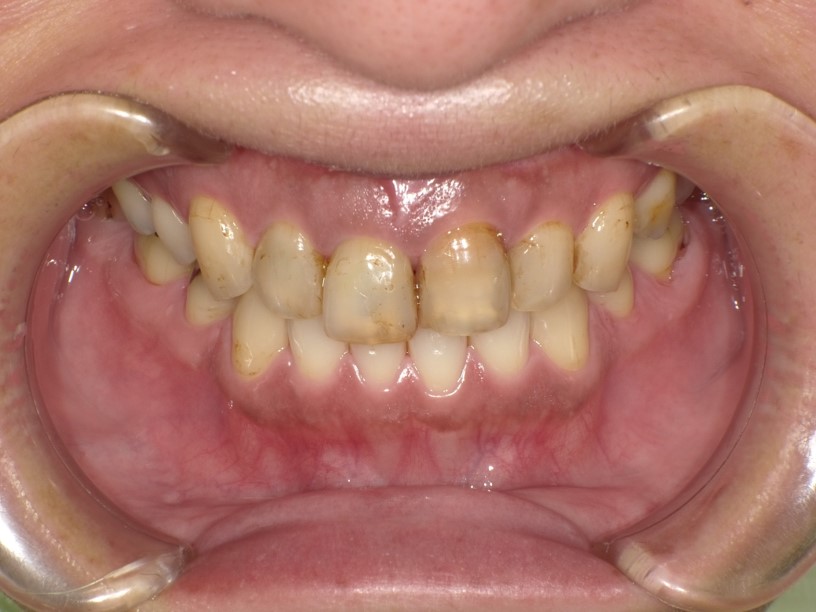
上の前歯の色調不良と古いレジン充填があちこちに目立ちます
After
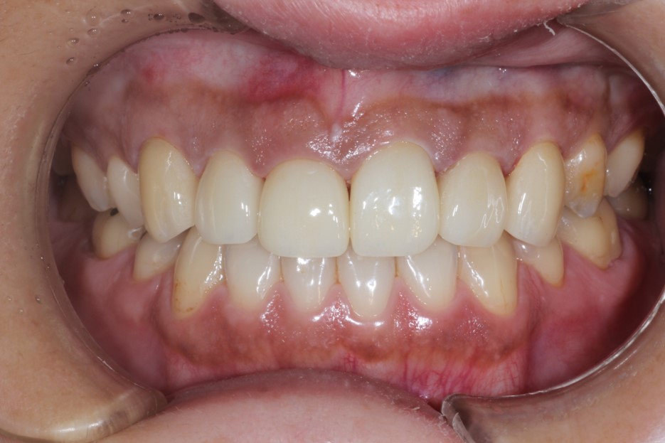
オールセラミッククラウンとラミネートベニアで前歯を修復した状態です
| 費用 | 759,000円(税込) |
|---|---|
| 治療期間 | 3回のアポイント |
| デメリット | 術後数日しみる症状が出る場合があります |

やさしいホワイトニングを行っています。
遺伝や加齢、生活習慣などが原因で黄ばんでしまった歯を白くします。
専用薬剤によって変色の原因である色素を分解し、白く明るい歯にします。
当院ではご自宅でできるホームホワイトニングをご用意しております。
2週間をワンクールとして、それを2回行うのを基本としています。
ホームホワイトニングは、まず、医院で一人一人にあったマウスピース作りからはじまります。
ご家庭で出来あがったマウスピースに専用の薬剤を入れ、毎日1~2時間装着します。
それを2週間続けていく方法がホームホワイトニングです。
詳しい事は、来院し医師にお聞きください。

オフィスホワイトニング
院内にて専用の薬剤と照射器を使用するホワイトニング方法です。当院でのオフィスホワイトニングは簡単な「クイックタイプ」と「しっかりタイプ」の2つのコースをもうけており、クイックホワイトニングの場合、1回の来院で10分×3回のホワイトニングを行います。
オフィスホワイトニングの流れ

ここまでの流れでだいたい60分~90分くらいかかります。オフィスホワイトニングは1回の来院で済み、ある程度時間をかけてホワイトニング回数を重ねることで痛みが出にくく、しっかりとホワイトニング効果を出すことができますし、ホワイトニング後の大切な歯の強化も行えますので、早く歯を白くしたい方や、ご自宅でホワイトニングを行うのが面倒な方にはぴったりの方法です。
ホワイトニング照射器「BRILLICA」

しかし当院ではホワイトニング専用LED照射器「BRILLICA」を導入し、機械が軽量化されているので、患者様はホワイトニング中、自由にお顔を動かしていただけますし、なによりストレスがだいぶ緩和されると思います。マッサージ機能付きのチェアでホワイトニングを行えますので、リラックスした状態でホワイトニングをお受けいただけますので患者様にも大変よろこばれております。
使用する薬剤は痛みの出にくい国内メーカーのものを使用しておりますので、安心してホワイトニングをお受けいただけます。
治療費
オフィスホワイトニング:25,000円(税抜) ※キャンペーン価格有

ホームホワイトニング
患者さんがご自宅で行うホワイトニングです。医院でクリーニング後に歯型を取り、その歯型を元に患者さん専用のマウスピーストレーを製作いたします。そのトレーと専用の薬剤をお持ち帰りいただき、薬剤を流し込んだトレーを数時間装着してホワイトニングをしていただく方法です。
ホームホワイトニングの流れ

治療費
ホームホワイトニング:30,000円(税抜) ※キャンペーン価格有
オフィスホワイトニングと同時並行:40,000円(税抜)

3DS
むし歯菌や歯周病菌を除菌する治療法の一つで、ブラッシングやPMTC(歯科医師や歯科衛生士によるクリーニング)と組み合わせて行います。専用のマウスピースに薬剤(高濃度の殺菌ジェル)を入れて装着していただくことで、薬が直接的にむし歯菌や歯周病菌に作用し、原因菌を除菌する方法です。ホワイトニングと一緒に行っていただくことで、口腔内の衛生環境も維持しつつ、歯を白くしていくことが可能となります。
治療費
初回:¥15,000-
継続:¥3,000-

歯がボロボロになる原因
歯がボロボロになる原因は大きく分けて二つあります。
一つは重度の虫歯、二つ目は重度の歯周病です。
この二つは放置すればするほど悪化してしまい、歯がボロボロになってしまいます。
【歯がボロボロになる習慣等】
治療の流れ
初めてお越しの方は一般的な虫歯や歯周病のチェック、レントゲン撮影などをさせて頂きます。
まずはお口の中をチェックをさせて頂き、現状を1から丁寧に説明させて頂いております。
その後、治療の方針を複数ご説明する中で、必要に応じてCT撮影や歯型とりをさせて頂いての模型審査など行い、詳しい検査をさせて頂いております。
治療方針が決まりましたら、実際に治療をスタートさせて頂きますが、状況に応じて複数まとめて治療できる際は患者様のご負担をなるべく減らすために、複数処置を同時にまとめて治療させて頂いております。
*選択頂く治療方法によります
終了後は個々の原因に即したメンテナスや歯ブラシの指導等を行なっていきます。
理想的には三ヶ月に一度ぐらいでのペースで定期メンテナンスにお越し頂き、全体的な状態の確認とクリーニング、必要に応じて噛み合わせのチェックなどを行なっております。